DH100
 Getting StartedSyllabusClassLibraryCommunicate
  Help

DH340 : The Class : Neoplasia : Types : Soft Tissues Gallery:
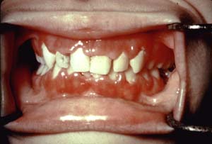
Leukemia (Blood Forming Cell Tumors)

Synopsis



Photo 3
Photo 4


Once you have finished you should:

Go on to Genetics
or
Go back toNeoplasia

E-mail Denise Helm at Denise.Helm@nau.edu
or call (520) 523-7425


NAU

Copyright © 2000 Northern Arizona University
ALL RIGHTS RESERVED