
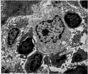
Figure 12. Very few cancer cells survive in the bloodstream. Mechanical stress shears the cancer cells, and immune cells attack them. When they recognize the cancer cells as foreign, white blood cells surround cancer cells as shown in this photomicrograph. White blood cells sometimes kill the cancer cells. Recent studies have shown, however, that some cancer cells have developed the ability to evade the immune system or to kill the attacking white blood cells. (Photomicrograph courtesy of Patrizia Griffini, Academic Medical Center, University of Amsterdam.)